Jovem apalpando o seio realizando o autoexame de câncer de mama. Foto: Freepik.

Os algoritmos identificam tanto os cancros perdidos como as características do tecido mamário que ajudam a prever cancros futuros

Radiological Society of North America | RSNA

Em um grande estudo com milhares de mamografias, os algoritmos de IA superaram o modelo de risco clínico padrão para prever o risco de cinco anos para câncer de mama. Os resultados do estudo foram publicados na Radiology.

O risco de câncer de mama de uma mulher é normalmente calculado usando modelos clínicos, como o modelo de risco do Breast Cancer Surveillance Consortium (BCSC), que usa informações autorrelatadas e outras sobre a paciente – incluindo idade, histórico familiar da doença, se ela deu à luz e se ela tem mamas densas – para calcular uma pontuação de risco.

“Os modelos de risco clínico dependem da coleta de informações de diferentes fontes, que nem sempre estão disponíveis ou coletadas”, disse Vignesh A. Arasu, MD, PhD, cientista pesquisador e radiologista praticante da Kaiser Permanente Northern California. “Os avanços recentes no aprendizado profundo de IA nos fornecem a capacidade de extrair centenas a milhares de recursos mamográficos adicionais.”

No estudo retrospectivo, o Dr. Arasu usou dados associados a mamografias 2D de rastreamento negativo realizadas na Kaiser Permanente Northern California em 2016. Das 324.009 mulheres rastreadas em 2016 que atenderam aos critérios de elegibilidade, uma subcoorte aleatória de 13.628 mulheres foi selecionada para análise. Além disso, todas as 4.584 pacientes do grupo de elegibilidade que foram diagnosticadas com câncer dentro de cinco anos da mamografia original de 2016 também foram estudadas. Todas as mulheres foram acompanhadas até 2021.

“Selecionamos todo o ano de mamografias de rastreamento realizadas em 2016, então nossa população de estudo é representativa das comunidades no norte da Califórnia”, disse Arasu.

Os pesquisadores dividiram o período de estudo de cinco anos em três períodos de tempo: risco de câncer de intervalo, ou cânceres incidentes diagnosticados entre 0 e 1 ano; risco futuro de câncer, ou cânceres incidentes diagnosticados entre um e cinco anos; e todo o risco de câncer, ou cânceres incidentes diagnosticados entre zero e cinco anos.

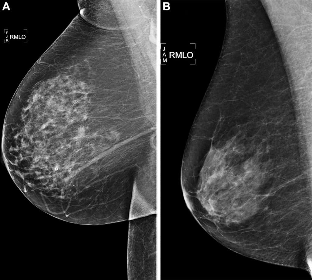
As mamografias de rastreamento oblíquas medial direito (RMLO) mostram resultados negativos de 2016 em (A) uma mulher de 73 anos com escore de risco de inteligência artificial (IA) Mirai com risco de mais de 90º percentil que desenvolveu câncer de mama direito em 2021 com 5 anos de acompanhamento e (B) uma mulher de 73 anos com escore de risco Mirai AI com risco inferior ao percentil 10 que não desenvolveu câncer em 5 anos após 5 anos de acompanhamento.

A “caixa preta” da IA

Usando as mamografias de rastreamento de 2016, as pontuações de risco para câncer de mama durante o período de cinco anos foram geradas por cinco algoritmos de IA, incluindo dois algoritmos acadêmicos usados por pesquisadores e três algoritmos disponíveis comercialmente. Os escores de risco foram então comparados entre si e com o escore de risco clínico do BCSC.

“Todos os cinco algoritmos de IA tiveram um desempenho melhor do que o modelo de risco BCSC para prever o risco de câncer de mama em 0 a 5 anos”, disse Arasu. “Este forte desempenho preditivo durante o período de cinco anos sugere que a IA está identificando cânceres perdidos e características do tecido mamário que ajudam a prever o desenvolvimento futuro do câncer. Algo na mamografia nos permite rastrear o risco de câncer de mama. Esta é a ‘caixa preta’ da IA.”

Alguns dos algoritmos de IA se destacaram em prever pacientes com alto risco de câncer de intervalo, que muitas vezes é agressivo e pode exigir uma segunda leitura de mamografias, rastreamento suplementar ou imagens de acompanhamento de curto intervalo. Ao avaliar mulheres com o maior risco de 10% como exemplo, a IA previu até 28% dos cânceres em comparação com 21% previstos pelo BCSC.

Mesmo algoritmos de IA treinados para horizontes de tempo curtos (tão baixos quanto três meses) foram capazes de prever o risco futuro de câncer até cinco anos, quando nenhum câncer foi clinicamente detectado pela mamografia de rastreamento. Quando usados em combinação, os modelos de risco de IA e BCSC melhoraram ainda mais a previsão de câncer.

“Estamos procurando um meio preciso, eficiente e escalável de entender o risco de câncer de mama de uma mulher”, disse Arasu. “Os modelos de risco de IA baseados em mamografia fornecem vantagens práticas em relação aos modelos de risco clínico tradicionais porque usam uma única fonte de dados: a própria mamografia.”

Arasu disse que algumas instituições já estão usando IA para ajudar radiologistas a detectar câncer em mamografias. A pontuação de risco futura de uma pessoa, que leva segundos para a IA gerar, poderia ser integrada ao relatório de radiologia compartilhado com o paciente e seu médico.

“A IA para previsão de risco de câncer nos oferece a oportunidade de individualizar o cuidado de cada mulher, que não está sistematicamente disponível”, disse ele. “É uma ferramenta que pode nos ajudar a fornecer medicina personalizada e de precisão em nível nacional.”

Para mais informações

Acesse o estudo Radiology, “Comparison of Mammography AI Algorithms with a Clinical Risk Model for 5-year Breast Cancer Risk Prediction: An Observational Study“.

Mais em Dia a Dia:

Dom Salvador é Artista Steinway

Velo Clube enfrenta o Nova Iguaçu